Wearing braces has never been so convenient and comfortable. With recent advances in material technology, orthodontic treatments can be completed in a very short span of time, without anyone knowing about it. Gone are the days of ugly metal braces which had to be worn for years.
Invisible braces or clear aligners are wafer-thin, transparent aligners that fit snugly on your teeth and gently move them in place to give you a perfect smile. They offer you all the benefits of conventional orthodontics without the inconvenience of having to wear brackets and wires.




Invisible braces are created using the latest digital mapping and molding technology.
Invisible braces are clear so no one will know you're straightening your teeth.
You can remove your alligners to eat, drink or brush.
Invisible braces have clear edges that don't irritate your gums or cheeks.
The treatment is completed in very short span of time - 4 to 12 months and shows the most accurate results.
International patients can just make one visit of 2 days. After that, the alligners are periodically sent to your address.
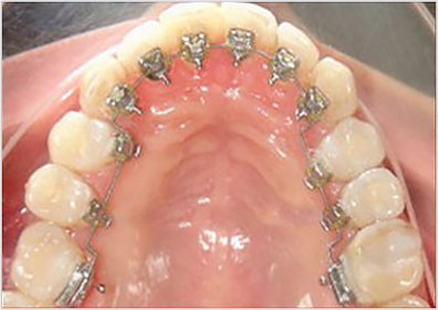
These are a special kind of braces that work behind the teeth. They are customized to bond to the back of your teeth, leaving the front of your smile entirely untouched.
These are a special kind of braces that work behind the teeth. They are customized to bond to the back of your teeth, leaving the front of your smile entirely untouched.
At Dentzz, our esteemed panel of orthodontists is carefully selected after thorough scrutiny. Over the years, we have successfully treated over 5000 orthodontic cases. We believe that given the considerable amount of time you are investing in such treatments, it is essential you are in the right hands from the beginning.